Follow us:

logo main logo dark logo main
logo main logo dark logo main
logo main logo darklogo light

Vagina Tightening – Mona Lisa Tetra Pro G Lift

G Lift - Women Wellness | Viginal Dryness, Itches Treatment

Mona Lisa Tetra Pro G Lift

If you have been disappointed with your previous RF (Radio Frequency) treatment, then you ought to know more about this breakthrough non-surgical Mona Lisa treatment that will deliver dramatic results for a tight vagina!

It is able to tackle menopausal or post partum symptoms such as any of the following:

  • Vaginal Dryness
  • Vaginal looseness
  • Urinary Incontinence
G Lift - Women Wellness | Viginal Dryness, Itches Treatment

What is the Mona Lisa Tetra Pro G Lift Treatment?

A Comfortable and Quick Procedure Using Laser Stimulation – Quick and Less Than 10 Minutes with No Anaesthesia Required and No Surgery Risks!  :

  • Gentle insertion of probe
  • Direct laser stimulation to vaginal tissues
  • Improved hydration, tone, sensitivity and trophism
  • Natural rejuvenation of vaginal tissues to restore function that has been lost to aging to tighten vagina canal
  • Rejuvenation to vulvar area and lightening of pigmentations

Scientifically proven, recognized by International Scientific Community and supported by Clinical Publications.

G Lift - Women Wellness | Viginal Dryness, Itches Treatment

Am I Suitable For The Mona Lisa Tetra Pro G Lift ?

A PAP smear should have been done recently before commencing the treatment to ensure that there are no other growths within the vagina canal that might interfere with treatment.

With a regular PAP smear, you can proceed with treatment!

G Lift - Women Wellness | Viginal Dryness, Itches Treatment

Post Operative Recovery - What to Expect

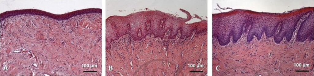
The three images represent the vaginal wall under the microscope (L to R) – Pre-treatment, post-session 1 and post-session 2.

Notice how the dark purple area (that represents lining of the vagina) thickens one month after the first session and strengthens even further after the second session? This increase in thickness brings a restoration back to a normal healthy vaginal epithelium, which gives improved hydration, tone and elasticity.

G Lift - Women Wellness | Viginal Dryness, Itches Treatment

Dr Sin Yong's Recommendations

Post procedure care is always of utmost importance. Usually for patients after 3 sessions of treatment, we will notice between 40-80% improvement as compared to before. For best results, you will be looking at strict adherence to the following.

Inner Vagina Care

Avoid sex for 7 days.
Inform your treating doctor if there is any abnormal discharge/ bleeding prior to treatment.

Outer Vagina Care

  1. To add on Post Laser Serums applying moisturiser.
  2. For faster recovery, adopt aggressive moisturisation until all scabs fall off.
  3. Allow scabs to fall off naturally and do not pick on scabs, as picking at them prematurely may result in scarring.
  4. Use of cold water to wash treated areas for the first 30 hours.

What are the benefits of this treatment?

MonaLisa Touch® allows for a functional restoration of the vagina (Laser Vaginal Rejuvenation), which helps fighting and attenuating symptoms related to vaginal atrophy, a widespread problem among pre and postmenopausal women. Thanks to its action on factors that determine dryness, fragility and loss of mucosal elasticity, this treatment can eliminate troublesome itching, irritation and pain, which become particularly acute during intercourse. The interaction with laser is, in fact, the ideal method to stimulate the collagen contained in the vaginal walls for the rehydration and functional tissue restoration. Its beneficial action can contribute to improve self-confidence and sexual pleasure.

Is it painful?

No, usually no anaesthesia required. The sensation is a light vibration.

For which women is MonaLisa Touch® laser treatment most suitable?

For any woman who want prevent or treat the vaginal symptoms due to estrogenic  decrease (in menopause, after a childbirth, after a cancer treatment, or after an eating disturb –anorexia) . Most common symptoms vaginal dryness, laxity, burning, pain during sexual intercourse and mild urinary incontinence. MonaLisa Touch® is the ideal treatment for those who are looking for a less invasive procedure, compared to traditional surgical or pharmaceutical treatments. Remember, no one can advise you better about MonaLisa Touch® and what is best for you to achieve best results than your doctor.

What type of results can I expect?

Most treated patients report a reduction in dryness, burning sensation, pain during intercourse, and urinary symptoms which contributes to a sumbstantial improvement in the quality of life. These results are possible, thanks to the stimulation of the mucosa, which regenerates and “rejuvenates

Can MonaLisa Touch® be used to treat vaginal laxity?

The term “loose vagina” refers to a condition where the diameter of the vagina has increased. This is often caused by natural yet traumatic events, such as giving birth or tissue relaxation due to a natural ageing process. In these cases, it is essential to evaluate the cause and the state of the vagina to exclude a prolapse or an involvement of the muscles. The CO2 fractional laser allows treating those cases where the “loose vagina” is due to a mucosal tone loss.

Are there any risks?

There are some minimal risks. The treatment is performed on an outpatient or day-hospital basis. Most women report temporary side effects, slight redness or swelling: some discomfort that usually disappears

How many treatments are needed?

It depends on how serious the symptoms are. We usually recommended 3 treatments, 40 days apart, followed by an annual maintenance treatment. In any case, it will be up to Dr Sin Yong, after careful examination, to evaluate and recommend the best treatment plan for you.

How is the recovery?

Most women report slight localised discomfort following the laser treatment and during the first few days after the session. Many have reported to have resumed their normal routine after one to three days. During the healing period, it may be recommended to avoid lifting weights or some activities, such as taking a hot bath, or physical exercise. Your doctor will give you specific indications for a speedy recovery.

How long do the effects of the treatment last?

After the 3-session treatment the results can last for one year at least, depending on the severity of the atrophy, the patient’s age and life style (diet, smoking and so on). After one year Dr Sin Yong can suggest you how many sessions should be performed again.

Are there any contraindications?

There is no exclusion criteria for MonaLisa Touch ®, other than those related to serious local or systemic diseases. In general, all women who have vaginal disorders like dryness, laxity, burning and itching can benefit from this treatment; however, your doctor must determine whether you are compatible.

How soon can I resume sexual activity?

We usually recommend 3 to 4 days of rest before resuming regular sexual activity. In any case, it will be up to your doctor to give you more specific guidance based on the outcome of the treatment.

Where can I find accredited MonaLisa Touch® centers?

Dr Sin Yong is an accredited Key Opinion Leader with DEKA Tetra Pro where he consistently delivers great results for face lifting and Vagina Lifting. 

RECOMMENDATIONS

READ MORE: HOT TOPICS

Getting in Touch With Dr Sin Yong